Telefon: 02241 / 33 66 60

Im Feldchen 2, 53757 Sankt Augustin

Unsere Spezialität : Einzelzahnversorgungen

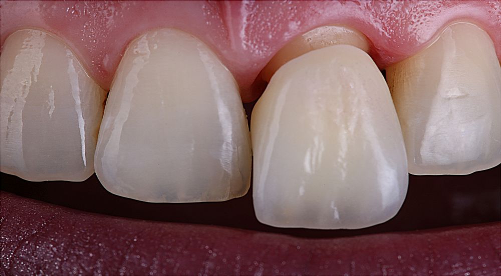
Individuell geschichtete keramisch verblendete Zirkonkrone auf Zahn 21
Individuell geschichtete keramisch verblendete Zirkonkrone auf Zahn 21

Anderer Fall, gleicher Zahn

e-Max Marylandbrücke

Ausgangslage
Ausgangslage
Einflüglige e-Max Marylandbrücke in situ
Einflüglige e-Max Marylandbrücke in situ
Seitenansicht
Seitenansicht

Teleskop-Prothese

Teleskop-Brücke keramisch verblendet
Teleskop-Brücke keramisch verblendet
Innenteleskope
Innenteleskope
Herausnehmbare Teleskopbrücke
Herausnehmbare Teleskopbrücke
Innenteleskope in situ
Innenteleskope in situ
Herausnehmbare Teleskopbrücke in situ
Herausnehmbare Teleskopbrücke in situ